Contenu principal
Publié le 14/11/2025

Reprise chirurgicale d’une fracture ouverte par balle du tibia d’un chat, suite à une complication

-Cas clinique Chirurgie
Image d'illustration d'un chat

La fracture ouverte fait partie des urgences orthopédiques. Les trois objectifs du traitement sont : la prévention de l’infection, la guérison de la fracture ainsi que la restauration de la fonction optimale de l’extrémité traumatisée.

Anamnèse

Un chat européen mâle castré d’environ 2 ans est présenté en consultation d’orthopédie à Alvetia pour le motif suivant : une complication d’une fracture ouverte par balle du tibia gauche, opérée il y a 4 semaines chez son vétérinaire traitant.

Le 20 novembre, il est présenté chez son vétérinaire traitant pour une boiterie de grade 5/5 du membre pelvien gauche, associée à un gonflement de la patte ainsi qu’à des plaies situées juste au-dessus du jarret, sur la face latérale du membre.

Des radiographies du membre ont été réalisées et montrent une fracture ouverte complexe diaphysaire comminutive du tibia gauche avec esquille et trait de refend et 2 plombs. La fibula est intacte (figure 1). Selon le système de classification de Gustilo [3], la fracture est une fracture ouverte de type II.

Fracture ouverte diaphysaire comminutive du tibia gauche avec 2 plombs
Figure 1 : Fracture ouverte diaphysaire comminutive du tibia gauche avec 2 plombs

Dans le cadre de l’admission des animaux polytraumatisés, des radiographies thoraciques sont réalisées et ne révèlent aucune anomalie.

Aucun antécédent médical n’est rapporté.

Une chirurgie est réalisée par le vétérinaire traitant. Nous ne connaissons pas le délai entre la survenue de la fracture ouverte et l’initiation de l’antibiothérapie.

L’ostéosynthèse a débuté par un abord médial du membre pelvien, puis par le retrait des morceaux de plombs. Un rinçage abondant et la mise en place d’un clou centro-médulaire de faible diamètre par le foyer de fracture sont réalisés (figure 2). Un pansement de type Robert Jones est mis en place. Il sort sous amoxiciline et acide clavulanique (16,44 mg/kg BID pendant 15 jours) et meloxicam (0,1 mg/kg/J pendant 2 jours).

Figure 2 : Retrait de 2 plombs et mise en place d'un clou centro-médulaire
Figure 2 : Retrait de 2 plombs et mise en place d’un clou centro-médulaire

7 jours après la chirurgie, il est présenté chez le vétérinaire traitant car il s’est retiré son pansement et qu’il ne respecte pas les consignes de repos. Une réfection de pansement est réalisée.

14 jours post-opératoires, des radiographies sont faites et montrent une instabilité du montage, une dé réduction ainsi qu’une fracture de la fibula, initialement intacte (figure 3). Il est référé 3 jours plus tard à la clinique Alvetia pour gestion du cas avec possible reprise chirurgicale.

Figure 3 : Dégradation de la réduction, 14 jours post-opératoires
Figure 3 : Dégradation de la réduction, 14 jours post-opératoires

Examen clinique

Examen général dans les normes. Après le retrait de son pansement Robert Jones, il présente une boiterie de grade 5/5 du membre pelvien gauche. Il est douloureux à la manipulation de celui-ci. Le foyer de fracture ne semble pas présenter d’instabilité. Un hématome était présent sur la face interne du tibia.

Prise en charge

Dans l’attente d’une chirurgie le lendemain, il est hospitalisé sous fluidothérapie à 2 ml/kg/h, sous morphine à 0,2 mg/kg et sous amoxicilline/acide clavulanique à 15 mg/kg.

Ostéosynthèse

Afin que nous puissions réaliser l’intervention chirurgicale, le chat est anesthésié avec une injection de midazolam (0,2 mg/kg) et de l’alfaxalone à effet en IV. Le maintien de l’anesthésie se fait par un relais gazeux à l’isoflurane dans 100% d’O2.  Une CRI FLK (fentanyl à 2.5µg/kg/h ; lidocaïne à 1 mg/kg/h ; kétamine à 0.5 mg/kg/h) est mise en place durant l’intervention pour une analgésie optimale.

Un abord chirurgical médial du tibia est réalisé. L’incision est faite sous le condyle fémoral médial jusqu’à la malléole tibiale médiale.  Le fascia crural est incisé. La veine et l’artère saphènes sont préservées. Une dissection mousse du fascia entre le muscle tibial crânial et le muscle fléchisseur profond des doigts est réalisée pour atteindre le foyer de fracture.

Un curetage des abouts fracturaires est réalisé, la broche ainsi que 2 morceaux de plombs sont retirés, et envoyés pour analyse bactériologique. La zone est ensuite rincée abondamment avec une solution NaCl 0,9%. Afin de favoriser la cicatrisation osseuse, une autogreffe d’os spongieux  est prélevée au niveau du tubercule majeur de l’humérus controlatéral. La peau est incisée sur 2 cm, la corticale est perforée à l’aide d’un foret de 2 mm et puis de 3,5 mm. L’os spongieux est extrait avec une curette et placé sur une compresse imbibée de liquide physiologique.  Une fermeture en 3 plans est réalisée.

La greffe est ensuite positionnée dans le foyer de fracture avant d’être compactée délicatement. Le foyer de fracture est stabilisé à l’aide d’une plaque locking compression plate : LCP, préalablement contournée, pour vis de 2,4 mm avec 3 vis proximales et 3 vis distales au trait de fracture. Les vis sont bicorticales ; il y a 2 vis verrouillées et 1 vis standard de part et d‘autre du trait fracturaire. La plaque, ici, est posée en soutien. La manipulation per-opératoire ne montre aucune anomalie dans la flexion et l’extension des articulations adjacentes au foyer de fracture.

Par la suite, une fermeture en 3 plans est réalisée.

Les radiographies post-opératoires montrent un positionnement très satisfaisant des implants et un réalignement de la fracture (figure 4). Des morceaux de plombs sont cependant encore visualisés.

Figure 4 : Ostéosynthèse après la chirurgie
Figure 4 : Ostéosynthèse après la chirurgie

Un pansement Robert Jones est mis en place pour 15 jours. Le chat est progressivement sevré en CRI de FLK pour une sortie le soir de l’intervention sous amoxicilline/acide clavulanique à 12,5 mg/kg BID pendant 15 jours (en attendant les résultats de la bactériologie), sous meloxicam à 0,1 mg/kg SID pendant 10 jours et sous buprénorphine à 20µg/kg BID durant 5 jours et cageothérapie.

Le pronostic est dépendant de la culture bactériologique. En effet, les risques majeurs sont une ostéomyélite ou une non-union.

Suivi

5 jours plus tard, la bactériologie revient positive à Staphylococcus pseudointermedius et l’antibiogramme effectué révèle une bonne sensibilité à l’antibiotique utilisé. L’antibiothérapie est alors prolongée pour atteindre une durée totale d’un mois.

Suite à un pansement souillé, une réfection du Robert Jones est faite 6 jours après l’intervention chirurgicale.

15 jours après l’opération, le pansement et les fils sont retirés. La plaie est belle. Le patient n’est pas douloureux à la manipulation du tibia et la mobilisation du tarse et du grasset est normale. La physiothérapie à la maison peut être débutée.

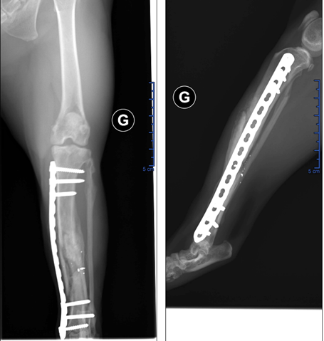
6 semaines post-opératoires, la fracture est stable et le chat ne présente plus de boiterie. Il garde cependant une légère ankylose du tarse physiologique. Les radiographies montrent des implants en place et une cicatrisation osseuse avancée. Un cal déjà minéralisé a ponté certains fragments osseux ; cependant, il reste des zones osseuses non comblées (figure 5).

Figure 5 : Ostéosynthèse 6 semaines post-opératoires
Figure 5 : Ostéosynthèse 6 semaines post-opératoires

Discussion

Lors d’un impact de balle, l’énergie cinétique emmagasinée par celle-ci provoque des déformations plastiques et élastiques. De l’énergie est également perdue sous forme de chaleur sur la surface qu’elle rencontre. L’énergie cinétique suit la formule : Ec = 1/2mv², où m est la masse de la balle et v la vitesse de celle-ci. On comprend donc mieux que les dégâts sur les tissus mous sont dépendants de la masse de la balle et surtout de sa vitesse. [6]

Les fractures ouvertes par balle sont considérées comme des urgences orthopédiques. Il est cependant indispensable de réaliser au préalable un examen systématique d’un patient traumatisé. En effet, d’après Selcer [9], 57% des chiens ayant subi un traumatisme orthopédique présentent des lésions visibles au niveau des radiographies thoraciques. D’après Boysen [1], 45 % des animaux accidentés sur la voie publique présenteraient des épanchements abdominaux à l’A FAST.

Des radiographies thoraciques orthogonales, ainsi qu’une échographie FAST afin de déceler d’éventuels saignements abdominaux, sont donc systématiquement proposées lors de la prise en charge d’un animal polytraumatisé, si son état le permet. Cela a été fait chez le vétérinaire référent.

Toute fracture ouverte est considérée comme une plaie contaminée, l’antibiothérapie est donc une étape importante. Il a été prouvé qu’une administration précoce (3h après le traumatisme) diminuait les complications liées aux infections. [7]  Pour les fractures ouvertes de types I et II, les céphalosporines de 1ère génération sont suffisantes. Concernant celles de type III, il est conseillé d’associer des céphalosporines de 2ème génération à de la gentamicine, bien que cette association n’a pas montré de supériorité comparativement à l’utilisation de l’ampicilline sulbactan. [4] Bien entendu, ces conseils ne remplacent pas un prélèvement bactériologique et un antibiogramme, qui permet de déterminer l’antibiotique le plus spécifique à l’agent pathogène.

En plus de l’antibiothérapie systémique, un traitement local est important. Une tonte doit être réalisée en veillant à ne pas mettre de poils dans la plaie. Il convient de nettoyer la plaie avec du liquide physiologique seul, en grande quantité, à faible pression. [2]

Idéalement, dans les 6h suivant le traumatisme, un parage chirurgical doit être réalisé. Il consiste à éliminer tous les tissus dévitalisés ainsi que les possibles corps étrangers, comme les fragments de balles par exemple. Cependant, une étude en médecine humaine sur les fractures ouvertes n’a montré aucune différence significative sur le taux d’infection si le débridement a été réalisé à 6h ou à 12h après l’admission à l’hôpital tant que les patients avaient reçu des antibiotiques à leur arrivée. [2]

Dans le cas de fractures ouvertes de grades I et II dont la prise en charge est rapide, elles peuvent être refermées par 1ère intention. Dans le cas contraire, une fermeture par 2nde ou 3ème intention est indiquée.

Une stabilisation précoce de la fracture est conseillée pour éviter le délabrement additionnel des tissus mous, dû à la mobilité des fragments osseux. Les fractures ouvertes de types I et II dont la prise en charge a été précoce peuvent être stabilisées par une fixation interne. Pour celles du grade III, des fixateurs externes sont préconisés.

Les 4 principaux objectifs de l’ostéosynthèse sont d’obtenir une fixation stable (surtout lors de fracture ouverte), de garder une vascularisation des fragments osseux et des tissus avoisinants par des techniques chirurgicales atraumatiques, la réduction la plus anatomique possible et la reprise rapide de la physiothérapie. [8]

Dans notre cas, plusieurs techniques d’ostéosynthèse sont possibles. Une réduction à foyer fermé, bien que moins traumatique et qui préserve l’hématome fracturaire, n’est pas réalisable au vu du choix de faire un prélèvement bactériologique et de retirer l’implant déjà en place.

L’association d’un clou centro-médullaire et d’une plaque est possible pour diminuer les forces de flexion sur cette dernière. Cependant, théoriquement, il y a plus de risques de disséminer l’infection dans la cavité médullaire avec une fixation centro-médulaire, même si celle-ci n’a jamais été prouvée en pratique en médecines vétérinaire et humaine. [5] Nous avons également jugé que les forces exercées sur la plaque n’étaient pas suffisantes pour mettre un clou en renfort.

Des fixateurs externes de types IA, IB ou IIB auraient pu être utilisés, permettant la préservation de la vascularisation du foyer de fracture, mais ils ont été jugés trop imposants et compliqués pour la gestion par les propriétaires à la maison.

Une plaque LCP (locking compression plate) a été privilégiée. Une plaque VCP (veterinary cuttable plate) a été estimée trop fragile et souple pour le montage. Des plaques DCP (dynamic compression plate) ou LCDCP (low contact dynamic compression plate), cette dernière permettant d’avoir un contact moins important entre l’os et l’implant et ainsi de prévenir les risques d’ostéopénie ainsi que de dévascularisation, auraient pu être utilisées. Elles présentent néanmoins comme désavantage le fait de devoir être modelées à la perfection pour obtenir un alignement anatomique optimal. L’avantage de la plaque LCP par rapport à ces dernières, est que les vis à têtes verrouillées permettent un moindre modelage de la plaque à l’os. La vascularisation périostée est alors conservée, la plaque se détachant de l’os. De plus, les vis verrouillés permettent une meilleur solidité du montage.

Dans le cadre d’une chirurgie à foyer ouvert, une greffe d’os spongieux est nécessaire pour rétablir la perte de substance osseuse importante au niveau de la fracture. Elle présente à la fois un effet d’ostéo-conduction et d’ostéo-induction. La greffe doit impérativement concerner de l’os spongieux et non de l’os cortical, ce dernier étant susceptible de représenter un séquestre osseux dans une zone contaminée. [8]

Les complications d’une chirurgie de fracture ouverte sont : une déhiscence de plaie, une infection cutanée, une ostéomyélite, une persistance de la boiterie, un retard/absence de cicatrisation osseuse et un rejet d’implant. Aucune des complications rapportées n’a été rencontrée dans ce cas pour le moment.

Bibliographie

  • 1.Boysen, S., Rozanski, E. A., Tidwell, A. S., Holm, J. L., Shaw, S. P., & Rush, J. E. (2004). Evaluation of a focused assessment with sonography for trauma protocol to detect free abdominal fluid in dogs involved in motor vehicle accidents. Javma-journal Of The American Veterinary Medical Association, 225(8), 1198‑1204
  • 2.Crowley, D. J., Kanakaris, N. K., & Giannoudis, P. V. (2007). Debridement and wound closure of open fractures : The impact of the time factor on infection rates. Injury, 38(8), 879‑889.
  • 3.Gustilo, R. B., Merkow, R. L., & Templeman, D. C. (1990). The management of open fractures. The Journal Of Bone And Joint Surgery, 72(2), 299‑304.
  • 4.Halawi, M. J., & Morwood, M. P. (2015). Acute Management of Open Fractures : An Evidence-Based Review. Orthopedics, 38(11)
  • 5.Li, J., Xie, L., Liu, L., Gao, G., Zhou, P., Chu, D., Qiu, D., & Tao, J. (2023). Comparing external fixators and intramedullary nailing for treating open tibia fractures : a meta-analysis of randomized controlled trials. Journal Of Orthopaedic Surgery And Research, 18(1).
  • 6. Lindsey, D. (1980). The idolatry of velocity, or lies, damn lies, and ballistics. Journal Of Trauma-injury Infection And Critical Care, 20(12), 1068.
  • 7. Patzakis, M. J., & Wilkins, J. (1989). Factors Influencing Infection Rate in Open Fracture Wounds. Clinical Orthopaedics And Related Research, 243
  • 8. Piermattei, D. L., Flo, G. L., Brinker, W. O., Giddings, D., & Fritzler, R. M. (2006). Brinker, Piermattei, and Flo’s handbook of small animal orthopedics and fracture repair. Dans Elsevier eBooks.
  • 9. Selcer, B. A., Buttrick, M., Barstad, R. D., & Riedesel, D. H. (1987). The incidence of thoracic trauma in dogs with skeletal injury. Journal Of Small Animal Practice, 28(1), 21‑27.

Cas clinique rédigé par le DMV BUSUITO Alexandre.

Remonter en haut de page