Contenu principal

Insuffisance cardiaque congestive droite suite à une dysplasie tricuspidienne, compliquée d’une sténose pulmonaire supra-valvulaire et de thrombi intracavitaires.

-Cas clinique Cardiologie

Revenons sur un cas clinique avec Rodolphe, un chat Maine Coon castré âgé de 1 an. Rodolphe a été présenté en urgence en novembre 2021 pour une détresse respiratoire sévère, avec les muqueuses cyanosées et de l’hypothermie.

  • Une hospitalisation sous oxygène et diurétiques a été mise en place jusqu’à une stabilisation suffisante pour effectuer une échocardiographie. L’échocardiographie a révélé une dysplasie tricuspidienne sévère (vitesse de régurgitation au niveau de la valve tricuspidienne 2,75m/s (𝘀𝗹𝗶𝗱𝗲 𝟮 𝗮𝘃𝗮𝗻𝘁), soit un gradient de pression de 30 mmHg).
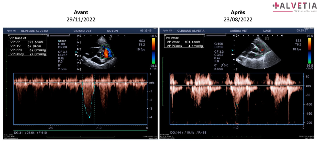
  • La dysplasie tricuspidienne sévère était compliquée d’une sténose pulmonaire (vitesse au niveau de la valve pulmonaire 3,93m/s (𝘀𝗹𝗶𝗱𝗲 𝟯 𝗮𝘃𝗮𝗻𝘁), soit un gradient de pression de 62mmHg). Le ventricule et l’oreillette droite était très dilatés et des thrombi étaient formés dans cette dernière. Rodolphe a pu sortir d’hospitalisation trois jours plus tard. Après sevrage en oxygène, il a été placé sous clopidogrel 18,75 mg SID, IECA 0,5mg/kg SID, β-bloquant 6,25mg SID.
  • 3 mois plus tard, le DMV Stéphanie LASK a effectué une échocardiographie de contrôle. Une dissolution des thrombi ainsi qu’une absence de difficulté respiratoire ont été constatées. Un abattement marqué était toujours présent. Le traitement a été ajusté avec le β-bloquant à deux fois par jour et de la spironolactone rajoutée à 1mg/kg SID.
  • Dès l’adaptation du traitement, une nette amélioration de l’état clinique est rapportée par les propriétaires, Rodolphe rejoue, resaute et a repris une vie normale.
    En mai et août 2022, deux nouvelles échocardiographies ont été réalisées et une stabilisation des images échographiques a été obtenue. La vitesse de régurgitation tricuspidienne est fixée à 2m/s (𝘀𝗹𝗶𝗱𝗲 𝟮 𝗮𝗽𝗿𝗲̀𝘀) (2,75m/s en novembre 2021), la vitesse au niveau de la valve pulmonaire à 1m/s (𝘀𝗹𝗶𝗱𝗲 𝟯 𝗮𝗽𝗿𝗲̀𝘀) (3,93m/s en novembre 2021). Le ventricule et l’oreillette droite restent dilatés mais sans volute préthrombique.
  • Le pronostic reste malgré tout réservé pour Rodolphe qui présente une pathologie sévère et incurable. Sa qualité de vie est néanmoins préservée et les contrôles échocardiographiques vont être espacés à tous les 6 mois.
Remonter en haut de page